В Канаде хирурги "забыли" 30-сантиметровую пластину в теле пациентки

Сейчас пациентка перенесла вторую операцию и чувствует себя бодро.

В Канаде хирурги "забыли" 30-сантиметровую пластину в теле пациентки

© CBC News

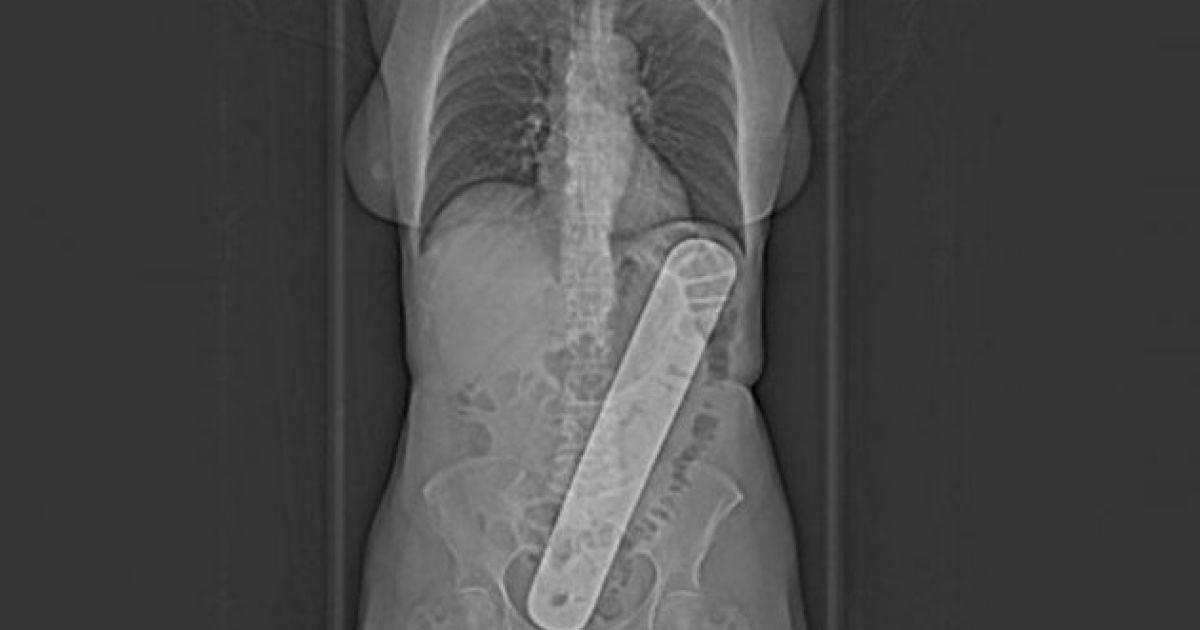
Хирурги одного из госпиталей Монреалю забыли в теле пациентки 30-сантиметровую металлическую пластину.

информирует CBC News.

Пациентка Сильвия Дубе после прохождения операции на матке начала ощущать сильные боли в плече. Врачи долгое время пытались установить диагноз и даже начали лечить воспаление в плече. Но пізіше они сделали рентген брюшной полости, обнаружили в ней 30-сантиметровую пластину. Такая пластина используется для защиты желудка и внутренностей во время операции.

В лечебном заведении, где произошел инцидент, начали проверку.

Сейчас пациентка перенесла вторую операцию и чувствует себя бодро.

Напомним, что ранее 35-летняя уроженка французского города Ажен Ильхам Каїд несколько лет страдала от боли в области почек, и была уверена, что причиной боли является хроническое заболевание.

На самом же деле рассеянные французские хирурги просто "забыли" во время операции в теле у Каїд 30-сантиметровую дренажную трубку, с которой она прожила четыре года.

Женщина перенесла вторую операцию и чувствует себя лучше.

Следующая публикация

Я разрешаю TSN.UA использовать файлы cookie