Чоловік із найбільшою кількістю зубів у світі

Чоловік із найбільшою кількістю зубів у світі / © Guinness World Records

Чоловік із найбільшою кількістю зубів у світі

Чоловік із найбільшою кількістю зубів у світі показав свою унікальну усмішку — фото

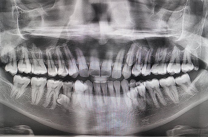
У роті рекордсмена нарахували 42 зуби — на десять більше, ніж у середньостатистичної людини.

Мешканець Малайзії Пратаб Муніанді привернув увагу незвичайною особливістю — у його роті нарахували рекордну кількість зубів.

Як повідомляє Книга рекордів Гіннеса, чоловік має 42 зуби, що на десять більше, ніж у середньостатистичної людини, і це дозволило йому встановити світовий рекорд серед чоловіків.

33-річний інженер, який працює в нафтогазовій галузі та виховує сина, каже, що тривалий час навіть не підозрював про свою особливість. Вперше він звернув на неї увагу 2021 року під час сімейного чаювання.

За словами Пратаба, тоді він пожартував із рідними, що, здається, у нього ростуть додаткові зуби. Разом вони вирішили їх порахувати й виявили 38. Згодом рентгенівське обстеження показало, що в щелепі є ще чотири зуби, які на той момент не прорізалися.

© Guinness World Records

На початку 2023 року після огляду стоматологів було офіційно підтверджено, що загальна кількість зубів у чоловіка становить 42. При цьому, за словами лікарів, більшість із них ростуть рівно та не спричиняють ускладнень.

Сам рекордсмен зазначає, що багато людей навіть не помічають його особливість, поки він не зверне на неї увагу.

«Зазвичай люди дуже дивуються і спочатку не вірять, особливо коли дізнаються, що у мене на десять зубів більше, ніж у середньостатистичної людини, яка має 32», — розповів він.

Чоловік із найбільшою кількістю зубів у світі / © Guinness World Records

Попри незвичайну анатомічну особливість, зайві зуби не створюють для чоловіка проблем. Водночас він приділяє багато уваги догляду за ротовою порожниною: чистить зуби двічі на день і регулярно користується зубною ниткою.

Пратаб зізнається, що пишається своїм досягненням і називає його особливим досвідом.

«Це дивовижне відчуття — знати, що ти світовий рекордсмен за кількістю зубів», — зазначив він, подякувавши своїм стоматологам за підтримку та допомогу у підтриманні здоров’я зубів.

Зуби Пратаба / © Guinness World Records

Водночас рекорд серед жінок належить Кальпані Балан з Індії — у неї нарахували 38 зубів.

Нагадаємо, що відомо про найстарішу кобилу у світі.


Наступна публікація

Я дозволяю TSN.UA використовувати файли cookie